Приветствую вас, мои дорогие читатели!
Мне часто по роду деятельности задают вопрос: несовершенный остеогенез что это? И сегодня я решила посвятить день на исследование этого вопроса.
Итак, несовершенный остеогенез, также известный как болезнь Лобштейна или хрустальная болезнь, — это группа генетических расстройств, характеризующихся прежде всего хрупкостью костей, которые легко ломаются.
Это редкое заболевание, и его тяжесть может варьироваться от легкой до крайне тяжелой формы.
Классификация остеогенеза
Классификация несовершенного остеогенеза (НО) была разработана для лучшего понимания различных форм этого заболевания и для облегчения выбора методов лечения и прогнозирования исходов.
Существуют несколько типов НО, основанных на генетических, клинических и радиологических характеристиках.

Наиболее широко применяемая классификация включает следующие типы:
- Тип I
Самая легкая и наиболее распространенная форма. Кости ломаются легко, особенно до начала полового созревания; минимальные деформации костей. Кожа может быть слегка гиперэластичной, а суставы гипермобильны.
- Тип II
Самая тяжелая форма, часто приводящая к смерти в младенчестве из-за переломов костей черепа и длинных костей, а также из-за уменьшения размеров грудной клетки и нарушений дыхания.
- Тип III
Тяжелая форма с ранним началом. Частые и серьезные переломы, значительные деформации костей и уменьшение роста. Эта форма может быть сопоставима по тяжести с типом II, но с большей выживаемостью.
- Тип IV
Умеренно тяжелая форма с переменными клиническими проявлениями, которые могут включать переломы (не так часто, как в типе III), умеренные деформации костей и проблемы с ростом.
Позже были описаны дополнительные типы, которые обычно включают аналогичные симптомы, но с различиями в генетических мутациях или особенностях проявления:
- Тип V
Характеризуется гиперпластичностью каллуса (патологическое образование новой костной ткани на месте перелома), отсутствием голубых склер и часто сопровождается большей жесткостью костей.
- Тип VI
Отличается нарушением минерализации костей, обнаруживаемым на рентгеновских снимках.
- Тип VII
Связан с мутациями в других генах, отличных от тех, что вызывают типы I-IV.
- Тип VIII и далее
Включают еще более редкие и нестандартные случаи с различными генетическими причинами и клиническими особенностями.
Эта классификация помогает врачам определять наиболее подходящие стратегии лечения и поддержки для пациентов в зависимости от типа НО.
В чем заключается патогенез
Патогенез несовершенного остеогенеза (НО) заключается в нарушении развития и функции костной ткани, преимущественно из-за дефектов в коллагене типа I, который является основным структурным белком костной ткани.
Давайте подробнее рассмотрим основные аспекты патогенеза НО.
Генетические мутации:
- Большинство случаев НО вызвано мутациями в генах COL1A1 и COL1A2, которые кодируют альфа-1 и альфа-2 цепи коллагена типа I. Эти мутации могут привести к количественному и качественному снижению производства коллагена.
- Мутации могут быть как наследуемыми, так и спонтанными (де-ново).
Синтез коллагена:
- Нормальный коллаген типа I образуется из двух альфа-1 цепей и одной альфа-2 цепи. Нарушение в любой из этих цепей может искажать тройственную спираль коллагена, что делает коллагеновые волокна слабыми или нестабильными.
- Это снижает прочность костной ткани, делая кости более хрупкими и подверженными переломам.
Структура и качество костной ткани:
- Дефекты в коллагене приводят к аномалиям в структуре костной ткани, включая недостаточную минерализацию (внедрение минералов в костную ткань), что также снижает прочность костей.
- Измененная структура коллагеновых волокон может нарушать нормальное распределение и функционирование остеобластов (клеток, формирующих кость) и остеокластов (клеток, разрушающих кость), что влияет на процессы ремоделирования костей.
Влияние на другие ткани:
- Поскольку коллаген типа I присутствует не только в костях, но и в других тканях (например, в склерах, коже, сухожилиях), дефекты в его структуре или производстве могут приводить к широкому спектру симптомов, включая голубые склеры, гиперэластичность кожи и проблемы с зубами.
Реакция организма:
- Организм может пытаться компенсировать слабость коллагена усиленным, но ненормальным образованием костной ткани, что может приводить к необычно плотным, но хрупким костям, или к образованию чрезмерного каллуса после переломов.
Понимание патогенеза НО важно для разработки целевых терапий, которые могут улучшить качество жизни пациентов, снизив частоту переломов и улучшив структурную стабильность костей.
Признаки и симптомы
Признаки и симптомы несовершенного остеогенеза (НО) могут сильно варьироваться в зависимости от типа заболевания. Но есть общие характеристики, которые часто встречаются у большинства пациентов. Вот основные из них:
- Частые переломы
Самый заметный признак НО; переломы могут происходить с минимальным травматизмом или даже без видимой причины. Часто переломы начинаются в детском возрасте и могут стать менее частыми после полового созревания.
- Голубые склеры
Голубой оттенок белков глаз является одной из типичных черт для некоторых форм НО. Это связано с тонкостью и прозрачностью склеры, через которую просвечивает уваскулярный хориоид.
- Деформация скелета
Несовершенный остеогенез может приводить к различным деформациям костей, таким как изогнутые ноги, неправильная форма грудной клетки, и другие аномалии.
- Низкий рост
Из-за частых переломов и деформаций скелета рост пациентов часто оказывается ниже среднего.
- Проблемы с зубами
Состояние, известное как дентиногенез неполноценный, может приводить к проблемам с зубами, таким как хрупкость, неправильное расположение и потеря зубов.
- Проблемы со слухом
Потеря слуха, часто наступающая в более позднем возрасте, может быть вызвана поражением костей среднего уха.
- Гипермобильность суставов и слабость мышц
Суставы могут быть чрезмерно подвижными, а мышцы слабыми, что увеличивает риск травм.
- Легкие синяки и тонкая кожа
У некоторых людей с НО кожа может быть тонкой и легко поддающейся синякам.
- Усталость
Общая слабость и повышенная утомляемость также могут сопровождать это состояние из-за нагрузки на организм.

Лечение НО направлено на управление симптомами и предотвращение переломов, включая использование медикаментов для укрепления костей, физиотерапии для поддержания мышечной силы и гибкости.
А также ортопедических операций для коррекции деформаций и укрепления костей.
Группа риска
Несовершенный остеогенез (НО) является наследственным заболеванием, поэтому основная группа риска — это люди, у которых в семье были случаи данного расстройства.
Вот ключевые причины и факторы риска для НО:
- Генетическая предрасположенность
Наличие близких родственников с несовершенным остеогенезом значительно увеличивает риск наследования состояния. Болезнь может передаваться как по аутосомно-доминантному, так и по аутосомно-рецессивному типу наследования.
- Мутации в определенных генах
Основными генами, связанными с НО, являются те, которые кодируют коллаген типа I (COL1A1 и COL1A2). Мутации в других генах также могут вызвать НО, но это менее распространено.
- Этническая принадлежность
Некоторые исследования показывают, что несовершенный остеогенез может встречаться с различной частотой в разных этнических группах, но болезнь может поражать людей любой расы и этнической принадлежности.
Поскольку НО — это генетическое заболевание, основной способ определить риск — это генетическое консультирование и тестирование для семей, у которых уже были случаи данного заболевания. Генетическое тестирование может помочь определить носительство мутаций, связанных с НО, что особенно важно для планирующих беременность. Это позволяет будущим родителям осознанно подходить к решению о зачатии и быть готовыми к возможному появлению заболевания у детей, лечению и уходу за ребенком с НО.
Диагностика остеогенеза
Диагностика несовершенного остеогенеза (НО) включает в себя комбинацию клинических наблюдений, семейного анамнеза, радиологических исследований и генетического тестирования. Вот основные шаги, используемые для диагностики НО.
Медицинский анамнез и физикальное обследование:
- Врач собирает информацию о медицинской и семейной истории, особенно обращая внимание на случаи частых переломов, проблемы с зубами или слухом и другие симптомы, связанные с НО.
- Физикальное обследование может выявить типичные признаки, такие как голубые склеры, деформации скелета, гипермобильность суставов.
Рентгеновские снимки:
- Рентгеновские снимки могут показать характерные особенности НО, включая тонкие и хрупкие кости, аномальные изгибы костей и наличие переломов в анамнезе.
Генетическое тестирование:
- Генетическое тестирование является ключевым для подтверждения диагноза НО, особенно если другие методы не дают четких результатов. Тестирование на мутации в генах, таких как COL1A1 и COL1A2, которые кодируют коллаген типа I, может подтвердить диагноз.
- В случаях, когда типичные мутации отсутствуют, могут быть протестированы другие гены.
Биохимические тесты:
- В редких случаях может быть выполнен биохимический анализ коллагена из кожных фибробластов, чтобы увидеть аномалии в структуре или производстве коллагена.
- Ультразвуковое исследование:
- Ультразвук может использоваться для изучения состояния костей у плода в утробе матери, если есть подозрение на НО и известен семейный анамнез этого заболевания.
Консультации со специалистами:
- Консультации с генетиками, ортопедами, стоматологами и другими специалистами могут помочь в комплексной оценке симптомов и подборе соответствующего лечения.

Лечение и рекомендации
Лечение несовершенного остеогенеза (НО) направлено на уменьшение риска переломов, улучшение подвижности и минимизацию боли. Поскольку полного излечения НО не существует, терапевтический подход обычно комплексный и включает следующие компоненты.
Медикаментозное лечение:
- Бисфосфонаты: Эти препараты увеличивают плотность костей и уменьшают частоту переломов. Они работают, тормозя деятельность остеокластов (клеток, разрушающих кость).
- Деносумаб: Это средство, ингибирующее резорбцию костной ткани, также может использоваться в некоторых случаях для управления симптомами НО.
- Витамин D и кальций: Добавки витамина D и кальция могут быть назначены для поддержания здоровья костей.
Физическая терапия и реабилитация:
- Регулярные упражнения и физиотерапия помогают укреплять мышцы, поддерживать подвижность суставов и улучшать общую координацию, что может помочь предотвратить падения и травмы.
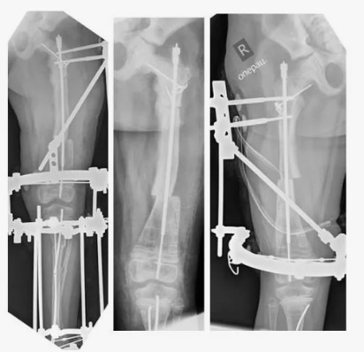
Ортопедические вмешательства:
- В некоторых случаях могут потребоваться операции для исправления деформаций или установки металлических стержней для стабилизации костей, особенно после переломов.

Поддержка и адаптация:
- Приспособления для ходьбы, специальная обувь и другие ортопедические устройства могут быть рекомендованы для улучшения мобильности и уменьшения риска падений.
- Адаптация домашней среды, включая установку поручней, уменьшение порогов и использование нескользящих ковриков, может помочь в предотвращении травм.
Психологическая поддержка:
- Психологическая помощь может быть важна для управления хроническим заболеванием, особенно у детей, которые могут сталкиваться с ограничениями в активности и социальной изоляцией.
Генетическое консультирование:
- Семьям, в которых есть случаи НО, может быть полезно генетическое консультирование для обсуждения рисков и планирования будущих беременностей.
Эффективность лечения зависит от типа НО и индивидуальных особенностей пациента, поэтому подход должен быть персонализированным и часто требует сотрудничества между специалистами различных медицинских дисциплин.
Жизнь с несовершенным остеогенезом требует регулярного медицинского наблюдения, укрепления мышц через легкую физическую активность, предотвращения травм, психологической поддержки и правильного питания с достаточным количеством кальция и витамина D. Важно также обеспечить безопасную домашнюю среду и использовать доступные ресурсы для поддержки и обучения.
Alain="centr
С вами была Лариса Колосова.
